facebook instagram Youtube whatsapp
Premier Dental & Implant Centre Logo

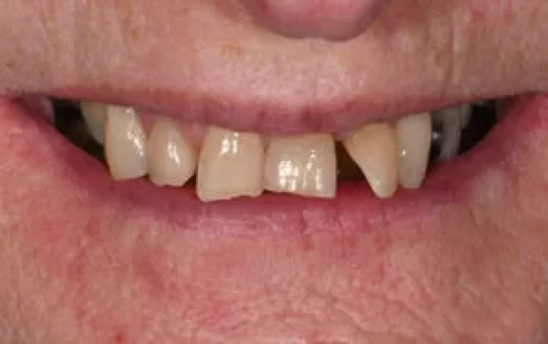
Case 20

Before (Teeth) After (Teeth)

BEFORE (Teeth)

AFTER (Teeth)

For more information regarding this treatment

Contact Us Chatham 01634 405 515
Back to Smile Gallery

Get in Touch

Testimonials

platform workingfeedback logo2

“Such a good dental practice and the staff are always friendly and helpful. Dr Ali and Tina at reception are so kind…”

Kirsten Rayner

star1 star1 star1 star1 star1
View all Testimonials

Testimonials

platform workingfeedback logo2

“I highly recommend this dental practice, especially to anyone who may be afraid of going to a dentist. I used to be…”

Jacki Smith

star1 star1 star1 star1 star1
View all Testimonials

Testimonials

platform workingfeedback logo2

“Great service. It was my first appointment here, and I’m not disappointed. Everything was explained to me perfectly, and the whole procedure…”

Mateusz Nawrocki

star1 star1 star1 star1 star1
View all Testimonials

Testimonials

platform workingfeedback logo2

“Great service and a wonderfully friendly team. Made me feel at ease. I am hoping this will be my forever dentist.”

kelly judd

star1 star1 star1 star1 star1
View all Testimonials

Testimonials

platform workingfeedback logo2

“The pain factory is somewhere we, or most of us, dread - dentistry has come a long way since my younger days…”

peter barnes

star1 star1 star1 star1 star1
View all Testimonials

Testimonials

platform workingfeedback logo2

“Premier Dental was recommended to me by a friend; fast forward 8/9 years, and here I am still there. I recommend it…”

Max PG

star1 star1 star1 star1 star1
View all Testimonials

Testimonials

platform workingfeedback logo2

“This is the 3rd time I have gone to them, and as always, I have excellent treatment by dentists and hygienists and…”

endre mojzes

star1 star1 star1 star1 star1
View all Testimonials

Testimonials

platform workingfeedback logo2

“Very clean and sterile interior. All of the staff are super friendly, professional and helpful. It is so hard to find an…”

Danii R

star1 star1 star1 star1 star1
View all Testimonials

Testimonials

platform workingfeedback logo2

“Very happy with this dentist; I needed help with tooth problems (obviously), and no messing got me in quickly. Fixed my problems,…”

Steven Ellis

star1 star1 star1 star1 star1
View all Testimonials

Testimonials

platform workingfeedback logo2

“Top class dentists, never had any issues with my treatments.”

Paul Raymond

star1 star1 star1 star1 star1
View all Testimonials

Testimonials

platform workingfeedback logo2

“Very friendly and caring, it’s a very clean and well-kept dentist. I will never change my dentists; I know they have restored…”

caroline brightman

star1 star1 star1 star1 star1
View all Testimonials

Testimonials

platform workingfeedback logo2

“This is the best dentist I have ever been to. Everyone is so nice. They all make you feel at ease. If…”

laura wayman

star1 star1 star1 star1 star1
View all Testimonials

Get in Touch

Google Rating
4.9
Google Rating
Google Widget Icon
Premier Dental & Implant Centre Logo